Zahnerhaltung
Leben Sie mit Ihren Zähnen
Bestimmte Prophylaxemaßnahmen und die häusliche Mundhygiene können Zahnfleischerkrankungen und Karies verhindern. Da Karies nicht geheilt werden kann und die Zähne sich nicht wie die Haut selbst regenerieren können, brauchen sie, wenn sie einmal verletzt sind, Hilfe. Diese Zähne müssen versorgt werden.
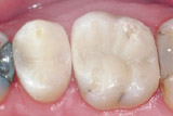
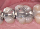
Die Versorgungsmöglickeiten reichen von kleinsten plastisch eingebrachten Kunststoff-Füllungen bis hin zur laborgefertigten Inlayversorgung aus Keramik oder Gold.
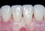
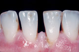
Das ansteigende Zahnbewußtsein der Patienten und die Nachfrage nach zahnfarbenen Restaurationen
hat dazu beigetragen, von Amalgamfüllungen Abstand zu nehmen.
Minimalinvasive Therapieformen ermöglichen uns durch das Auftragen von Kunststoffen auf den Zahn, Zahnlücken zu schließen, fehlerhafte Zahnformen umzugestalten oder unregelmäßige Zahnoberflächen zu verschönern.
Durch individuell gefertigte Verblendschalen (Veneers) können Schneidezähne, die zu klein sind,vergrößert werden.


